New Patients:
(410) 318-8575
Existing Patients:
(410) 848-5700
206 Washington Heights Medical Center, Westminster, MD 21157

Dentistry Before and After Photos

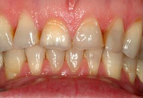
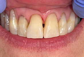
Family Dentist in Westminster

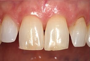
Before

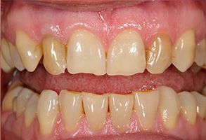
Dentist in Westminster

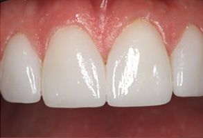
After

Emergency Dentist Westminster

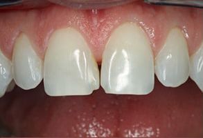
Before

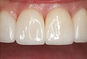
Dentist in Westminster

After

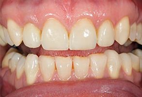
Dental Office in Westminster

Before

Westminster Cosmetic Dentist

After

Precision Dental of Westminster | Preventative Program, TMJ Disorders and Implant Restorations

Before

Precision Dental of Westminster | Dental Bridges, Emergency Treatment and Root Canals

After

Precision Dental of Westminster | Sedation Dentistry, Night Guards and Dental Bridges

Before

Precision Dental of Westminster | Invisalign reg , Periodontal Treatment and Dental Bridges

After

Precision Dental of Westminster | Sports Mouthguards, Dental Cleanings and Extractions

Before

Precision Dental of Westminster | TMJ Disorders, Implant Dentistry and Implant Restorations

After

Precision Dental of Westminster | Night Guards, Periodontal Treatment and Dental Bridges

Before

Precision Dental of Westminster | Implant Restorations, Implant Dentistry and Periodontal Treatment

After

Precision Dental of Westminster | Sports Mouthguards, Implant Restorations and Root Canals

Before

Precision Dental of Westminster | Dental Cleanings, Crowns  amp  Caps and Sedation Dentistry

After

Precision Dental of Westminster | Pediatric Dentistry, Crowns  amp  Caps and Emergency Treatment

Before

Precision Dental of Westminster | Sedation Dentistry, Dental Fillings and Preventative Program

After

Precision Dental of Westminster | Preventative Program, Periodontal Treatment and Root Canals

Before

Precision Dental of Westminster | Pediatric Dentistry, Sedation Dentistry and Dental Cleanings

After

New Patients:
Existing Patients: